CABINET DE CHIRURGIE DENTAIRE DES DR OLIVIER FREGNACQ ET DR HÉLÈNE LAGACHE
Chirurgien-Dentistes à Neuville sur Saone
Accueil
Présentation
Notre cabinet
Dr Olivier FREGNACQ
Où sommes-nous ?
Photo du cabinet
Dr Hélène Lagache
Prendre rendez-vous
Info patient
Hygiène et Prévention
prothèse
Les implants dentaires
Les maladies des gencives
Les pathologies dentaires
L'esthétique
Communication
Nouvelles technologies
Les facteurs de risques
Les prothèses
Vidéos 3D
Soins, hygiène et pathologies
Traitement des gencives
Prothèses dentaires
Implants dentaires
Dentisterie esthétique
Questionnaires
Questionnaire esthétique
Questionnaire de satisfaction
Enquête de satisfaction
Traitements
Avis patients
Questionnaire pré-RDV
Cas cliniques
Cas cliniques - Implantologie Mise en charge Immédiate
Cas Cliniques- Éclaircissement BLANCONE CLICK
2 Rue Pierre Dugelay, 69250 NEUVILLE SUR SAONE
+33 4 72 08 94 67
Afficher le téléphone
CABINET DE CHIRURGIE DENTAIRE DES DR OLIVIER FREGNACQ ET DR HÉLÈNE LAGACHE
Chirurgien-Dentistes à Neuville sur Saone
Accueil
Présentation
Notre cabinet
Dr Olivier FREGNACQ
Où sommes-nous ?
Photo du cabinet
Dr Hélène Lagache
Prendre rendez-vous
Info patient
Hygiène et Prévention
prothèse
Les implants dentaires
Les maladies des gencives
Les pathologies dentaires
L'esthétique
Communication
Nouvelles technologies
Les facteurs de risques
Les prothèses
Vidéos 3D
Soins, hygiène et pathologies
Traitement des gencives
Prothèses dentaires
Implants dentaires
Dentisterie esthétique
Questionnaires
Questionnaire esthétique
Questionnaire de satisfaction
Enquête de satisfaction
Traitements
Avis patients
Questionnaire pré-RDV
Cas cliniques
Cas cliniques - Implantologie Mise en charge Immédiate
Cas Cliniques- Éclaircissement BLANCONE CLICK
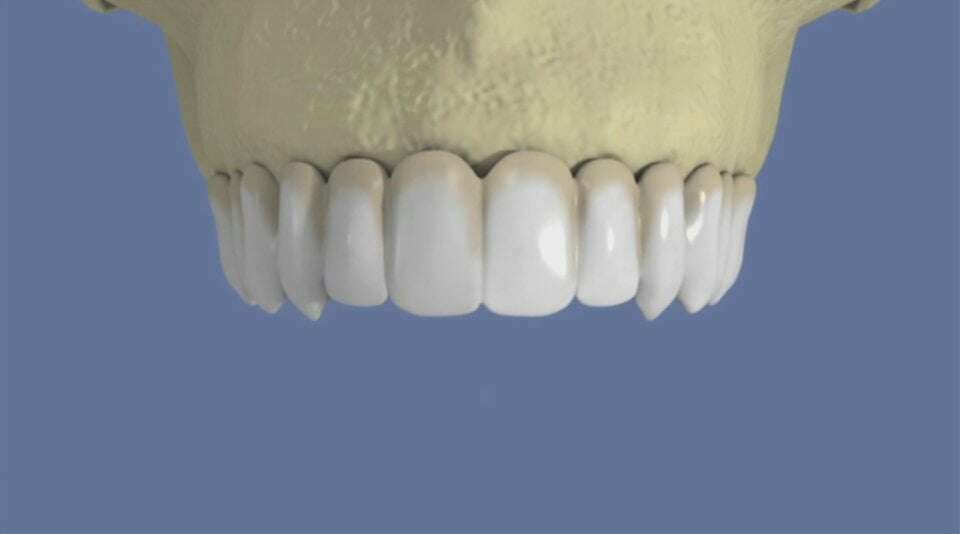
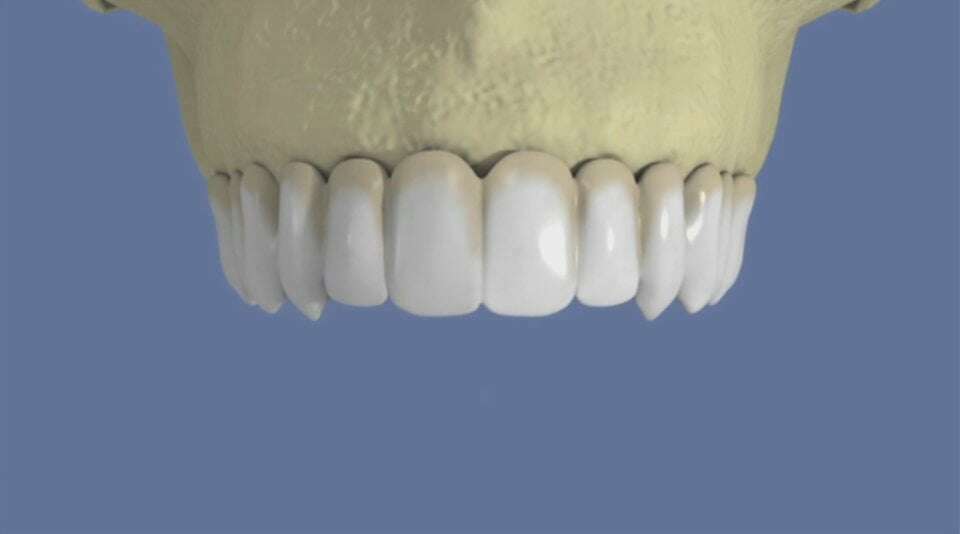
Maxillaire : bridge vissé sans fausse gencive
Vidéos 3D
Partager
Twitter
Partager
Partager
Envoyer
Copier
Cabinet de Chirurgie Dentaire des Dr Olivier FREGNACQ et Dr Hélène LAGACHE
Politique de confidentialité et charte cookie
Mentions légales
Conditions Générales Utilisation
Charte déontologique
Ordre national
Annuaires chirurgiens dentistes
Hygiène & Asepsie
Honoraire & remboursement
Rechercher
Création par
Connexion
Vidéo en cours de lecture